Expression of LZR-ELP and (EK)10-TAT-LZE

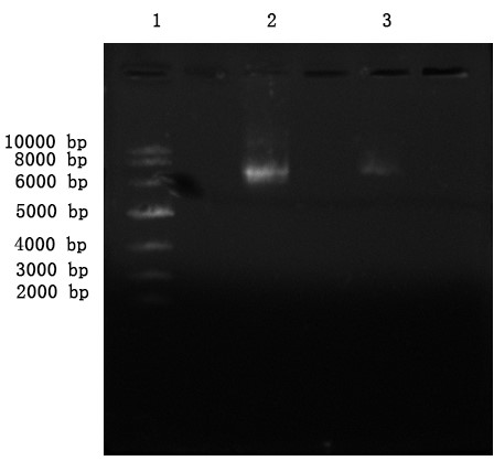
We designed two DNA sequences for coding (EK)10-TAT-LZE as well as co-expressing LZR-ELP and purification assistant peptide (PAP) first. Then pRSFDuet-1 was investigated to construct fusion expressed vector pRSFDuet-1-(LZR-ELP)-PAP, while pET-28a(+) was used for (EK)10-TAT-LZE expression. We do SDS-PAGE and DNA sequencing to examine the successful construction of these two plasmids (Fig. 1).

Figrue1. Electrophoresis for confirming recombination plasmid. lanes1: DNA Marker; lanes2: pET-28a(+)-((EK)10-TAT-LZE); lanes3: pRSFDuet-1-(LZR-ELP)-PAP.

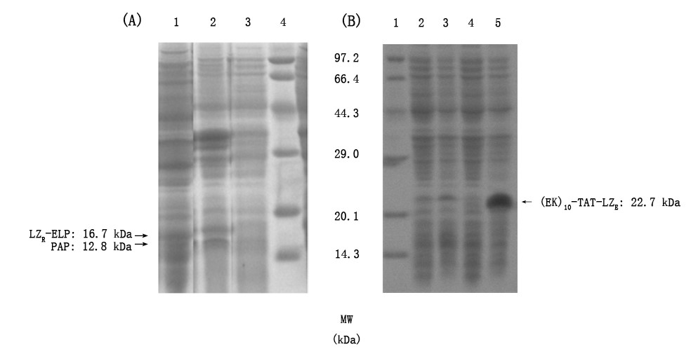
We performed the co-expression of pRSFDuet-1-(LZR-ELP)-PAP in optimum condition (1 mM IPTG, 20℃, 5 h) and we did SDS-PAGE to detect molecular weight. The results suggested that both LZR-ELP and PAP were exhibited in supernatant and LZR-ELP and PAP are 16.7 kDa and 6.40 kDa, respectively (Fig. 2). While the weight of LZR-ELP is consistent with the protein we design, the weight of PAP is double what we expect. This can be attributed to strong interaction between cation-rich His-tag and anion-rich LZE, resulting in formation of dimers according to Soleimani M[1] et.

And we expressed (EK)10-TAT-LZE with 0.4 mM IPTG induced for 5 h at 37℃ and did SDS-PAGE as well. The results showed that (EK)10-TAT-LZE was mainly expressed in supernatant, and it also performed a higher molecular mass due to the same reason mentioned above.

Figrue2. Induced expression and soluble analysis of LZR-ELP, PAP and (EK)10-TAT-LZE. a) determination expression form of LZR-ELP. Lanes1, supernatant and lanes2, precipitant obtained from induced bacteria; lanes3: bacteria liquid sample before induction; lanes4: Premixed Protein Marker (broad). b) determination expression form of (EK)10-TAT-LZE, lanes1: Premixed Protein Marker (broad); lanes2: precipitation obtained from induced bacteria; lanes3: bacteria liquid sample after induction; lanes4: bacteria liquid sample before induction and lanes5: supernatant obtained from induced bacterial.

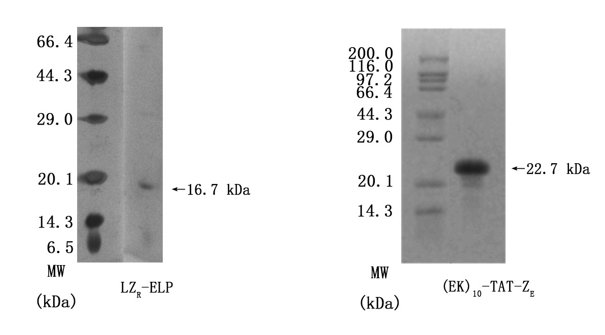
We subsequently purified LZR-ELP and (EK)10-TAT-LZE and did SDS-PAGE after the purification (Fig. 3). The results showed that molecular mass of LZR-ELP is 16.7 kDa and (EK)10-TAT-LZE is 11.34 kDa, demonstrating we successfully synthesize our two building blocks for the assembly.

Figrue3. SDS-PAGE results of determining purities of LZR-ELP and (EK)10-TAT-LZE. Lanes1 and 2 were Premixed Protein Marker and target protein respectively.

Characterizations of the ERPCs

Figure4. (A) CD spectra of LZR-ELP (2×10-5 M). (B) CD spectra of (EK)10-TAT-LZE. (C) LZR-ELP (2×10-5 M) and (EK)10-TAT-LZE (2×10-5 M) assembled at pH=7.

Mixtures of LZR-ELP and (EK)10-TAT-LZE spontaneously formed (EK)10-TAT-LZE/LZR-ELP amphiphilic complex via the high-affinity interactions of the heterodimeric leucine zippers at 4℃. The secondary structure of the two building blocks and assembly of (EK)10-TAT-LZE/LZR-ELP complex were characterized in solution using circular dichroism (CD) spectroscopy. And the result revealed that both LZR-ELP and (EK)10-TAT-LZE were partially folded at 2x10-5 M peptide concentration in phosphate buffered saline (PBS), while (EK)10-TAT-LZE (Fig. 4B) showing more folded than LZR-ELP (Fig. 4A). This can be attributed to that the α-helix of LZR-ELP is mainly provided by the leucine zipper part, while the α-helix structure of (EK)10-TAT-LZE comes from both leucine zipper and the functional block.

However, due to the aggregation-induced light scattering of the leucine zipper [2], when mixed in equimolar amounts, the resulting spectrum showed less helical than the spectra for (EK)10-TAT-LZE (Fig. 4C). This indicated that the two building blocks interacted to form a (EK)10-TAT-LZE/LZR-ELP amphiphilic complex. This behavior demonstrated that our two building blocks can be dimerized by the leucine zipper with a secondary structure as the α-helix at 4℃, where hydrophobic of ELP is relatively weak to drive the assemble of forming the ERPCs.

Figure5. TEM image of ERPCs which assembly at different conditions. (A). Assembly at 8.55×10-6 M (EK)10-TAT-LZE and 2.1×10-6 M LZR-ELP in pure water. (B). Assembly at 3.06×10-6 M (EK)10-TAT-LZE and 5×10-6 M LZR-ELP, 0.2 M PBS, pH=7.5, 0.175 M NaCl. (C). Assembly at 8.55×10-6 M (EK)10-TAT-LZE and 2.1×10-6 M LZR-ELP, 0.2 M PBS, pH=7.5, 0.3 M NaCl. (D). Assembly at 7.5×10-6 M LZR-ELP, 0.2 M PBS, pH=7.5, 0.6 M NaCl. (E)(F). Assembly at 8.55×10-6 M (EK)10-TAT-LZE and 2.1×10-6 M LZR-ELP, 0.9 M NaCl, 0.2 M PBS, pH=7.5. 0.9 M NaCl.

After dimerization of LZR-ELP and (EK)10-TAT-LZE, we changed the temperature into 37℃ to start the entropy-driven process which can break the hydrogen bonds between ELP and water so that ELP become hydrophobic and the release of water molecules form ELP favors entropy gain[3]. The inverse phase transition of ELPs which due to hydrophobicity leaded to the ERPCs’ formation. TEM results demonstrated we have successfully assembled ERPCs under different assembly conditions (Fig. 5). On account of the high salt content of the sample, the ERPCs were in short contact with the copper net which leaded to the high dispersion of ERPCs on the copper net resulted in the number of ERPCs in high resolution TEM image small.

Salt concentration to be a critical factor for ELPs’ aggregation [2] and we tested the inverse phase transition of protein mixture solutions at different salt concentrations (0-0.9 M). The formation of ERPCs was only observed above the critical value of salt concentration, which is estimated to be approximately 0.175 M by TEM. Below this concentration, we only observed the formation of the protein random aggregation as the Fig. 5A. Above this concentration, ERPCs were present in the form of micelles, which had clear boundaries but not membrane structure in TEM image (Fig. 5 BCDEF). And the micelles under different salt concentrations exhibited uniform diameters as 60-80 nm.

Figure 6. Turbidity profile of protein solution under various salt concentrations of protein mixture at different salt concentrations (0-0.45 M) with a fixed LZR-ELP and (EK)10-TAT-LZE concentration (12.5 μM and 3.125 μM).

Turbidity measurement was made to further study the effect of salt concentration on ERPCs’ assembly. As proved by turbidity profile (Fig. 6), saturation of turbidity was observed at the salt concentration of 0.3 M, which indicated the peak of micelle formation. The solution without NaCl leaded to the protein random aggregation, since the water molecular attached to ELPs and ELPs did not exhibit hydrophobic properties. With the increase of salt concentration, Na+ coordinated with H2O molecules and deprives ELP of water so ELP becomes hydrophobic, then they gathered to form the micelle. However, when the salt concentration is higher than 0.3 M, more H2O molecules were captured so that other part become hydrophobic too. Therefore, both the salt concentration high and low exhibit a low turbidity and protein coacervate and protein micelle only forms under a proper salt concentration.

Some of the assembled intermediate states were captured by TEM as shown in Fig. 7, which is of great significance to our study of ERPCs assembly. As can be seen from the Fig. 7, interestingly, the size of the core area of the ERPCs does not change significantly as the assembly process changes, which is consistent with the TEM image of Fig. 5B, D. We think its mechanism is ELP shows a β-helix structure while the two kinds of leucine zipper shows α-helix structure of LZR-ELP and (EK)10-TAT-LZE. Thus, the (EK)10-TAT-LZE/LZR-ELP amphiphilic complex structure had a high level of rigid which provided large amount of steric hindrance, as well as the charge carried by leucine zipper generated a complex electric field in space, making it difficult for the dimeric leucine zippers to spontaneously aggregate with others. Therefore, the particle size of the micelles is limited so that a uniform particle size was exhibited at different salt concentrations.

Figure5. TEM image of ERPCs procession. (A) is the formation of EPRCs (LZR-ELP 3×10-5 M, (EK)10-TAT-LZE: 2.4×10-5 M, with 0.1 M PBS and 0.6 M NaCl, assembling at 25℃) at earlier stage, (B) is the formation of ERPCs (LZR-ELP 2.21×10-5 M, (EK)10-TAT-LZE: 2.45×10-5 M, with 0.1 M PBS and 0.16 M NaCl, assembling at 37℃) at middle-late period and (C) has completed formation of ERPCs (LZR-ELP 2.21×10-5 M, (EK)10-TAT-LZE: 2.45×10-5 M, with 0.1 M PBS and 0.16 M NaCl, assembling at 37℃).

In sum, we can conclude that the salt concentration are important factors accounting for the formation of the ERPCs. Even through the salt concentration did not participate in the controlling of the ERPCs’ diameter, we used the condition of 0.3 M NaCl to generate ERPCs according to the turbidity analysis, when the proportion of building blocks involved in the formation of ERPCs was large.

Figure6. Hydrodynamic radii(Rh)of ERPCs which assembled at 0.1 MPBS, 0.3 M NaCl, 37°C, pH=7.5. (PDI=0.302)

The apparent hydrodynamic radii (Rh) of this kind of ERPCs was further characterized by dynamic light scattering (DLS). DLS results revealed that the size of most ERPCs were within the range of 60-110 nm, which is consistent with our TEM results. In conclusion, we assembled ERPCs successfully, which size is suitable for retention and transportation in human bodies.

MMP2-responded property.

Figure7. Enzymatic cleavage. To determine the digestion of (EK)10-TAT-LZE(Left) and its nanopreparation (Right), the samples were treated with 1 μg/mL MMP2 followed by SDS-PAGE. Assembly at 0.1 M PBS, 0.3 M NaCl, 37°C, pH=7.5

Since the MMP2 was over-expressed in tumor tissue, MMP2 enzyme site was designed as a segment for environmentally responsive function in (EK)10-TAT-LZE between the TAT segment and the (EK)10 segment. Therefore, the TAT segment exposed after enzymatic cleavage, which caused a turnover of potential from negative to positive. Since the cancer cells have anionic-surficial, this potential change due to MMP-2 leads to a potential of being taken up by tumor cells.

We mixed 3.12×10-6 M (EK)10-TAT-LZE and 1 μg/mL human MMP2 then incubated at 37℃ overnight, to let the MMP2 bind to its sites on functional block. And then we did SDS-PAGE to examine if the enzyme sites effective. Compared with Fig7. Right, one new band was seen in the gel image of Fig. 7 Left. The results indicated that the MMP2 cleaved the (EK)10-TAT-LZE, resulting in two digestion fragments even though one’s molecular weights was too small (about 3.05 kD) to obtain a longer residence time in the gel. Furthermore, we characterize the zeta potential by DLS to demonstrate the surface properties of pre- and post-enzyme digestion. Incubation of ERPCs with MMP2 showed charge change (Fig. 8), this strongly suggested that the sites of our carrier are accessible even in the “compact” micellar structure[4]. The result of zeta potential was shown in Fig. 8. ERPCs obtained a anionic surface before the digestion of MMP2 due to the (EK)10 block, and after the digestion of MMP2, the exposition of TAT peptide endows the ERPCs cationic surface (Fig. 8B).

This result revealed that the environmentally responsive property of ERPCs through over-expressed MMP2 enzyme digestion is feasible, while the electrification effect responses to environment change presents advantages of transport and cell internalization [5]. We are going to conduct cell experiments for further study.

Figure8. Zeta potential. To determine the charge change of digestion of (EK)10-TAT-LZE (A) and its nanopreparation (B) the samples were treated with 1 μg/mL MMP2 followed by SDS-PAGE.

Conclusion

In this work, we have presented a novel strategy to construct environment-responsive protein carrier for cancer drug with peptide. Assembly of ERPCs with fixed size is achieved by regulating the concentration of salt, which was further proved by TEM studies. ERPCs alters its charged properties by responding to the MMP2, which is an enzyme overexpressed near tumor cells which lead to a potential of being taken up by tumor cells. Proved by zeta potential data of DLS. The design of separating the assemble area and the functional area allows our ERPCs have many functions. Since LZR-ELP contains hydrophobic sequences, our carrier has great advantages in the transportation of hydrophobic drugs. And due to the partial charge of the leucine zipper, our ERPCs also has great advantages in transgenics.

Based on these results, we hope our methods can contributed to the diversity of nucleic and hydrophobic drugs and give some inspiration to the field of controllable nano-synthesis. Theoretical calculation has revealed that LZR-ELP can assembled by itself. This means the design of another building block has been given great diversity and more complicated functions can be realized. In the future, assemblies constructed using this strategy may also be useful in the fields of catalysis, protein engineering, nano-robot, bionanotechnology and synthetic biology, which are far beyond the usage in drug delivery.

Reference

[1] Soleimani M, Mirmohammad-Sadeghi H, Sadeghi-Aliabadi H, Jahanian-Najafabadi A. Expression and purification of toxic anti-breast cancer p28-NRC chimeric protein. Adv Biomed Res. 2016, 5: 70.
[2] Park WM, Champion JA. Thermally triggered self-assembly of folded proteins into vesicles. J Am. Chem. Soc. 2014, 136(52): 17906-17909.
[3] Cirulis JT, Keeley FW. Kinetics and morphology of self-assembly of an elastin-like polypeptide based on the alternating domain arrangement of human tropoelastin. Biochemistry. 2010, 49(27): 5726-5733..
[4] Zhu L, Wang T, Perche F, Taigind A, Torchilin VP. Enhanced anticancer activity of nanopreparation containing an MMP2-sensitive PEG-drug conjugate and cell-penetrating moiety. Natl Acad Sci U S A. 2013, 110 (42): 17047-17052
[5] Varkouhi AK, Scholte M, Storm G, Haisma HJ. Endosomal escape pathways for delivery of biologicals. J Control Release. 2011, 151 (3): 220-228.